EN
微思细胞破碎机:大肠杆菌破壁

在生物技术领域,从大肠杆菌中提取细胞内产物(如重组蛋白、质粒DNA等)是一个关键步骤。而细胞破碎技术的选择直接关系到得率、效率和成本。在众多方法中,高压均质机因其独特的技术原理,展现出显著且实在的优势。

实验工艺

微思细胞破碎仪高压低温破壁五遍

实验目的

破碎率>99%

实验结果

A.外观

破壁后的大肠杆菌样品变清澈。

破壁前


破壁后


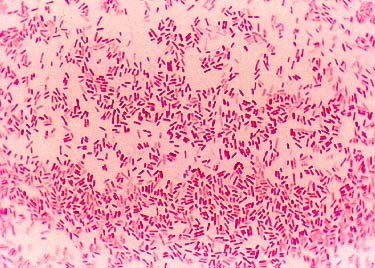
B.显微镜观察

显微镜观察结果,大肠杆菌破壁率超99%。

 

破壁后

相关产品
400 888 9801
wsmarketing@weissnano.com
苏州市相城区春耀路21号硕贝德科技园1号楼
【微信扫一扫联系我们】
Copyright © 2021 微思纳米科技(苏州)有限公司 版权所有 All rights reserved 备案号:苏ICP备2024122122号-2